Patient Testimonials

Google ReviewsView all Google Reviews

Funding your procedure

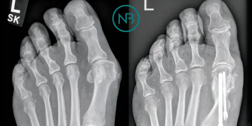
Our aim is to provide the best surgical treatments available.

We understand the price of surgical treatments can be a crucial deciding factor for many patients however there is no one price fits all, and we provide prices commensurate with the level of surgical excellence being provided. We offer options of ways to pay including 0% finance.

North Bristol Private Hospital - Funding your procedure