All surgical procedures will be thoroughly discussed during the consultation. It is important to note that no surgery is completely risk-free. Therefore, the recovery process after surgery, as well as potential complications, will be addressed.
Novel Minimally Invasive Surgery (MIS) For Foot & Ankle
I am a regional expert in MIS Foot and Ankle Surgery, having introduced it to the North Midlands region. My focus is on treating conditions such as bunions, lesser toes deformities, forefoot problems, heel issues, and foot deformities such as flat and high-arched feet. Through the use of minimally invasive surgical procedures, my aim is to minimize tissue disruption, decrease swelling, and expedite the recovery process. The positive feedback from numerous patients serves as evidence of the improved recovery experience facilitated by my techniques.
I have extensive training in MIS visiting and learning from best of the best surgeons in the field, both within the UK and internationally, which has greatly broadened my knowledge and expertise. These visits have facilitated the exchange of ideas and the integration of new techniques into my everyday practice.

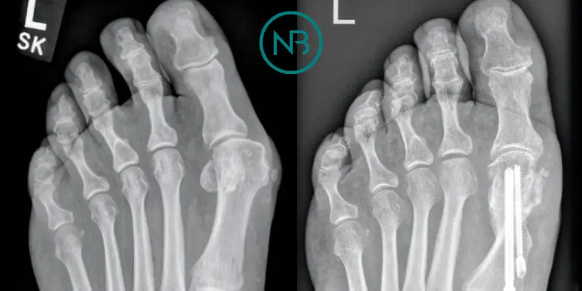
Bunion (Hallux Valgus) - Minimally Invasive Surgical Correction
More than one third of people over the age of 65 have bunions. It affects ladies twice as much as men. Many people live with this condition without any trouble. For many others however this stubborn lump on the inner side of the foot creates significant problem when shoes become more and more difficult to ware, and the big to continues to progressively drift laterally causing lesser toes deformities, forming painful callosities and drastically reducing quality of life. For these patients a corrective surgery is the only reliable option.
I correct bunions through minimally invasive surgery. It means cutting and resetting bones in the foot through tiny skin incisions using special instruments and implants. With minimal soft tissue trauma, and swelling this technique dramatically reduces pain and speeds up the recovery.
Big Toe Arthritis
8% of the population suffer from arthritis in their big toe. This condition develops slowly and can range from mild discomfort to severe pain that affects both walking and resting. One common symptom is a painful bony lump at the base of the big toe.
In more severe cases, surgery is often necessary. The two most commonly performed procedures are cheilectomy, which involves removing excess bone to restore joint movement, and fusion of the base of the big toe, which removes the diseased joint and uses metal implants to create a stable and pain-free joint.
I am one of the few surgeons performing the minimally invasive cheilectomy procedure through a tiny incision in the skin.

Lesser Toe Deformities
Many individuals suffer from deformities in their lesser toes, which can pose significant challenges due to their chronic nature and intricate characteristics. These deformities can impact one or multiple toes, resulting in pain, chronic callosities and difficulties in wearing shoes on a daily basis.
I routinely treat patients with lesser toes problems. These multi-element deformities are rather difficult to correct with traditional open surgery sometimes leaving very stiff toes with metal pins protruding for several weeks.
Thankfully modern minimally invasive surgical techniques allow to correct many of these deformities successfully with minimal soft tissues disruption and no need for metalwork. I treat all of my patients using this novel approach and results I see are consistently encouraging.

Insertional Achilles Tendinopathy (Heel bump)
Insertional tendinopathy occurs where the tendon connects to the heel bone, called the calcaneum. It typically presents as a painful bony lump at the back of the heel, causing significant pain and making it uncomfortable to wear shoes.
This condition often requires surgery. The traditional open operation involves a large skin incision to remove the diseased tendon and offending bone prominence, and then reattaching the tendon. While this procedure can provide pain relief, it carries risks. Recovery can take well over a year, and there is also a risk of skin breakdown, which can be challenging to treat.
Fortunately, there are innovative minimal excess techniques available for insertional Achilles tendinopathy. One of the most successful operations is where the heel bone is shortened through tiny skin incisions and fixed with screws to relieve to pressure from a diseased tendon on diseased bone. It is called minimally invasive Zadek’s osteotomy. Patients are able to walk straight away needing a special boot for about 4 weeks.

Plantar Fasciitis
Plantar fasciitis is a painful condition that affects the base of the sole, making it difficult to walk. It is common, affecting 1 in 10 people, particularly active working adults between 25 and 65 years old. The main symptom is severe pain during the first few steps in the morning.
Treatment options include systematic stretching exercises, night splints, injections, and shock wave therapy.
In cases where simpler measures fail, surgery is a good option. The operation involves releasing a small band of tissue at the back of the knee, and patients are able to walk immediately after the procedure. I regularly perform this surgery with very high patient’s satisfaction rate.
Mr Pavel Akimau's Extensive Training
Mr Pavel Akimau has trained with the best globally renowned surgeons in his field of expertise.

With Dr Marc Elkaïm – one of the World leading surgeons in Minimally Invasive and advanced Arthroscopic Foot and Ankle Surgery Specialists. Paris, France, September, 2024.

With Dr Georg Hochheuser – one of the European leaders in Minimally Invasive Foot surgery. Augsburg, Germany, April, 2024.
Frequently asked questions
The great Leonardo da Vinci once said, “The human foot is a masterpiece of engineering and a work of art.” It is a fascinating, beautiful and incredibly intricate mechanism. With 33 joints, 28 bones, and a myriad of other structures, it enables us to move.
Unfortunately, there are many potential issues that can arise with its different parts, significantly impacting our quality of life. These problems can take various forms, from agonising ankle arthritis to stubborn bunions, misaligned toes, and Achilles tendinopathy, among many others.
Thorough clinical assessment by a specialist is the first thing needed. Sometimes X-rays, ultrasound, CT or MRI scans are required to delineate the problem and plan its management.
Some of foot and ankle conditions can be alleviated with simple measures such as stretching exercises, insoles, shock wave therapy or injection. Others, however, may require surgery and a significant recovery period.
Bunion also called Hallux Valgus is a condition where the big toe over time gradually deviates outwards. This may lead to prominent bony bump with persistent throbbing pain over the inner side of the foot as well as great difficulty wearing shoes. Also, the big toe can encroach on neighbouring 2nd toe and make it to go either over or under it with crowding of other lesser toes. Typically, the condition progresses gradually sometimes making it nearly impossible to wear normal shoes.
Although occasionally splints helping to realign the big toe better can alleviate the discomfort to some extent, as a rule this condition is likely to progress, and the surgical correction is required to sort out the problem.

View all Google Reviews

Site by 